アルバム

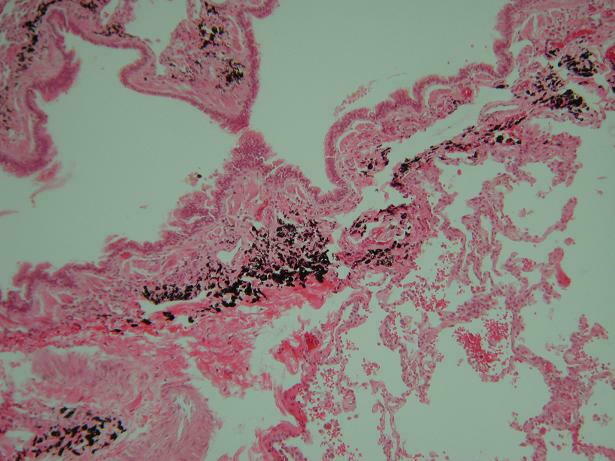
3.肺臓標本(炭粉沈着) HE染色


癌の増殖には血行性転移肺臓がある。



トップへ
戻る
前へ
次へ